Arama

Dünyanın İlk 3D Baskı ile Yapılan Omurga Nakli Gerçekleştirildi

10 yıl önce

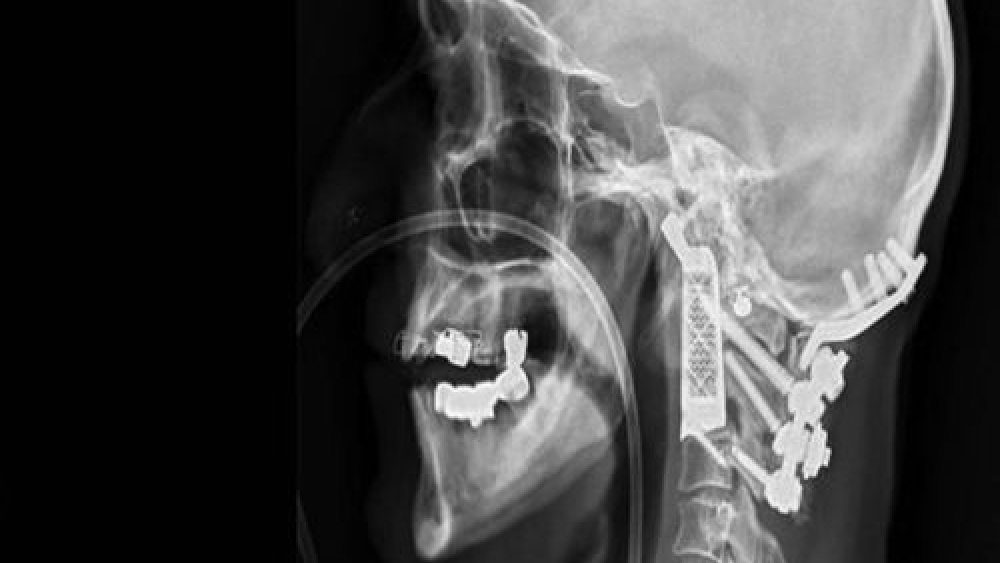
3D baskı teknolojisi, son yılların en büyük teknolojik gelişmelerinden biri oldu. Çok sayıda sektörde kendine hızlı bir şekilde yer bulan bu teknolojinin en önemli kullanım alanı ise sağlık sektörü oldu. Bu konudaki en önemli gelişmelerden biri de Avustralya'da yaşandı.  İLGİNİZ ÇEKEBİLİR >> Samsung 5G denemelerinde robot kol kullanıyor! Avustralya, Sidney şehrindeki Prince of Wales hastanesinde görev alan beyin ve sinir cerrahı Ralph Mobbs, sağlık tarihine geçecek bir çalışmaya imza attı ve bir hastasının 2 omurgasını, 3D baskı teknolojisi ile hazırlanan omurga ile değiştirdi. 60 yaşlarında olan ve yakalandığı Kordoma adı verilen bir hastalığa sahip olan hastası için yapılan bu ameliyat olumlu sonuç verdi. Kordoma, omuriliğe baskı yapan ve sıkıştıran bir çeşit kanser hastalığı olarak tanımlanıyor.  Bu hastalığın en ciddi sonuçlarından biri ise el ve ayakların felç olması. Ameliyata alınan hastada değiştirilmesi planlanan 2 omurga ise hastanın kafa hareketlerine izin veren omurgalardı.  Bu iş ise düşünüldüğü kadar kolay olmayan ve 3D teknolojisinin işin içine dahil edildiği nokta oldu. Mobbs, Avustralya merkezli medikal cihaz üreticisi Anatomics ile bir çalışma yaptı ve titanyumdan hazırlanan birebir uyumlu 2 omurga hazırladılar. Bu gelişme ise tarihe bir ilk olarak geçti. Hazırlıkların ardından 15 saatlik ameliyat süreci başladı. Operasyon bölgesi ise beyin kökü, bazı ana damarlar ve omurilik bölgesinin hemen üstünde, yani son derece riskli ve dikkat edilmesi gereken bir bölgedeydi.  Ameliyatın en zor kısımlarından bir ise hastanın başını boyundan ayırıp, tümörlü bölgeyi temizleyip, başı tekrar boyuna yerleştirmekti. Mobbs ve ekibinin 15 saatlik operasyonu ise başarıyla sonuçlandı.

Dünyanın İlk 3D Baskı ile Yapılan Omurga Nakli Gerçekleştirildi
ad image
ad image

3D baskı teknolojisi, son yılların en büyük teknolojik gelişmelerinden biri oldu. Çok sayıda sektörde kendine hızlı bir şekilde yer bulan bu teknolojinin en önemli kullanım alanı ise sağlık sektörü oldu. Bu konudaki en önemli gelişmelerden biri de Avustralya'da yaşandı. 

İLGİNİZ ÇEKEBİLİR >> Samsung 5G denemelerinde robot kol kullanıyor!

Avustralya, Sidney şehrindeki Prince of Wales hastanesinde görev alan beyin ve sinir cerrahı Ralph Mobbs, sağlık tarihine geçecek bir çalışmaya imza attı ve bir hastasının 2 omurgasını, 3D baskı teknolojisi ile hazırlanan omurga ile değiştirdi. 60 yaşlarında olan ve yakalandığı Kordoma adı verilen bir hastalığa sahip olan hastası için yapılan bu ameliyat olumlu sonuç verdi. Kordoma, omuriliğe baskı yapan ve sıkıştıran bir çeşit kanser hastalığı olarak tanımlanıyor. 

Bu hastalığın en ciddi sonuçlarından biri ise el ve ayakların felç olması. Ameliyata alınan hastada değiştirilmesi planlanan 2 omurga ise hastanın kafa hareketlerine izin veren omurgalardı.  Bu iş ise düşünüldüğü kadar kolay olmayan ve 3D teknolojisinin işin içine dahil edildiği nokta oldu.

Mobbs, Avustralya merkezli medikal cihaz üreticisi Anatomics ile bir çalışma yaptı ve titanyumdan hazırlanan birebir uyumlu 2 omurga hazırladılar. Bu gelişme ise tarihe bir ilk olarak geçti. Hazırlıkların ardından 15 saatlik ameliyat süreci başladı. Operasyon bölgesi ise beyin kökü, bazı ana damarlar ve omurilik bölgesinin hemen üstünde, yani son derece riskli ve dikkat edilmesi gereken bir bölgedeydi.  Ameliyatın en zor kısımlarından bir ise hastanın başını boyundan ayırıp, tümörlü bölgeyi temizleyip, başı tekrar boyuna yerleştirmekti. Mobbs ve ekibinin 15 saatlik operasyonu ise başarıyla sonuçlandı.

Etiketler :
Super Admin

It is a long established fact that a reader will be distracted by the readable content of a page when looking at its layout. The point of using Lorem Ipsum

Beğendim
Bayıldım
Komik Bu!
Beğenmedim!
Üzgünüm
Sinirlendim
Bu içeriğe zaten oy verdiniz.

ad image
ad image
Yorumlar

ad image
ad image